肿瘤病灶经治疗缩小了,还有必要手术吗?
对于恶性肿瘤而言,通过手术进行治愈性切除是最为理想的办法。为了达到更好的手术治疗效果,降低术后复发风险,可以采用的一个策略是术前新辅助治疗,通过化疗和免疫治疗等降低肿瘤负荷,然后再进行手术治疗。
有的时候,术前新辅助治疗的效果很好,手术切下来的病灶已经没有活的癌细胞了,这就让人们开始思考:患者还有必要挨这一刀吗?
肾细胞癌的治疗
转移性肾细胞癌的治疗一般有下面几个治疗策略:
一线治疗药物组合
PD-1抑制剂纳武利尤单抗联合CTLA-4抑制剂伊匹木单抗
PD-1抑制剂帕博利珠单抗联合抗血管生成靶向药阿西替尼
PD-L1抑制剂阿维单抗联合阿西替尼
二线治疗药物组合
PD-1抑制剂纳武利尤单抗
多靶向小分子抗癌药物卡博替尼
多靶点抗血管生成靶向药舒尼替尼
很长时间以来,通过手术进行癌细胞减灭术是备受推荐的。但有临床研究表明,单一的免疫治疗效果并不差。有的患者尽管影像学检查还有肿瘤病灶,其实切下来已经没有活细胞了,属于完全病理缓解。
下面我们一起看一个案例。
手术有必要吗?
一名48岁的白人女性,由于颈部肿胀和压痛,在医院检查出来甲状腺肿块,为此她进行了右侧甲状腺叶切除手术,病理显示是透明细胞转移癌,原发灶是肾脏。

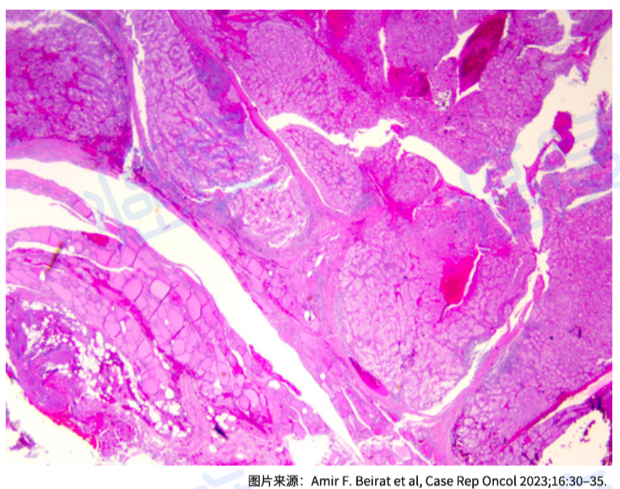
活检甲状腺和峡部的病理切片显示转移性透明细胞肾癌
这个患者接受了腹部和骨盆的CT检查,结果显示右上肾脏有个肿瘤,下腔静脉有个转移性淋巴结。骨扫描显示左髋臼有转移灶。她开始接受PD-1抑制剂联合阿西替尼的治疗。
患者每天两次口服抗血管生成靶向药阿西替尼,每次5毫克。每三周注射一次PD-1抑制剂,每次200毫克。骨的损伤则使用地诺单抗。在治疗的第一个月、第四个月、第八个月后的检查时,发现肿瘤对治疗的应答很好,病灶显著缩小。
但是,在治疗第九个月的时候,患者对阿西替尼出现了不耐受,出现了疲劳、肌肉酸痛、血压高。为此她把阿西替尼的剂量降低为3毫克。一年时间之后,经过CT、核磁和骨扫描等系统检查,没有发现任何转移性证据,整体属于临床部分缓解和病情稳定。

手术后的病理没有存活的癌细胞
为此,这个患者接受了细胞减灭术,右肾进行了根治性切除。切除的肾脏肿块显示有一个4.5厘米×4厘米的疤痕,但是没有存活的癌细胞,淋巴结活检也是阴性。
手术之后这个患者停用了阿西替尼,但是继续使用PD-1抑制剂帕博利珠单抗,计划再使用一年时间。手术之后五个月,重复的影像学检查和骨扫描没有再发现新的病灶或转移,没有术后并发症或新的淋巴结肿大。截止受访时,她的病情依然稳定,已经接受了26个疗程的PD-1抑制剂药物。
讨论和启示
尽管影像学检查还有病灶,但是患者的肿瘤切除下来属于完全缓解,已经没有存活的癌细胞了。这让给我们思考:如果治疗后通过影像学发现的病灶,到底切不切?
一些研究表明,对于接受免疫治疗的患者而言,去接受手术切除的获益有限,但是新的ASCO指南还是建议通过手术或姑息疗法去除大部分肿瘤负荷。研究者提出,在免疫疗法、靶向药物治疗的时代,对肾细胞癌等细胞减灭术还有没有必要?手术会造成肾功能丧失,尤其是对于老人,手术后的生活质量较差。
大家可以结合自己的治疗情况与主治医生沟通。是否进行手术,很多时候可以结合患者的年龄和所患的疾病等综合考虑。在没有明显获益可能性的前提下,不一定要着急切除相关脏器,往往有的时候切除下来的脏器只有很小的一个病灶,里面还没有活的癌细胞。
参考文献:
Amir F. Beirat et al, Pathological Complete Response of Metastatic Clear Cell Renal Carcinoma with Pembrolizumab and Axitinib: A Case Report and Review of Literature, Case Rep Oncol 2023;16:30–35
来源 | 健康界
版权归原作者所有,若有违规、侵权请联系我们

- 1


